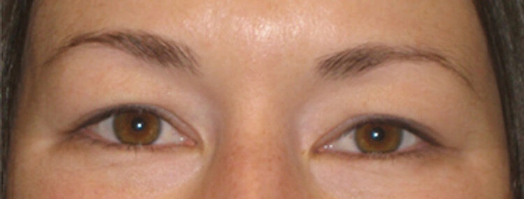
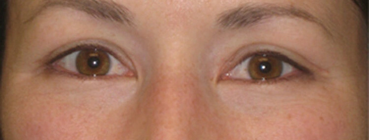
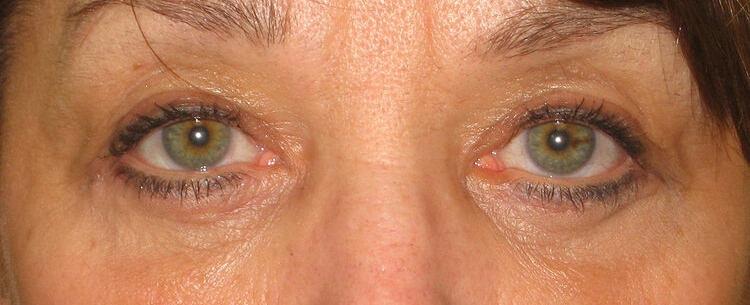
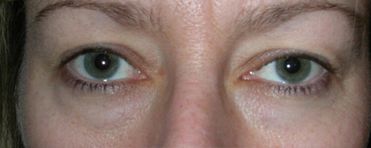
Eyelid Surgery

About this procedure

Also known as blepharoplasty, it removes excess skin, fat, and sometimes muscle from the eyelids to rejuvenate the eyes.

View procedure details here.
Before & after*

Search all procedures here